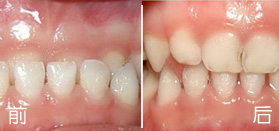
关闭牙间隙 牙齿更美丽
【病例详细情况】 屈女士,40岁,因为牙间隙影响美观故来口腔求诊,并且患者希望能够在不影响工作和日常生活的情况下,尽快得到修复。 【商议治疗方案】 口腔邢医生为其治疗,经检查发现上颌中切牙间有间隙,侧切牙过小,全口牙牙列齐,覆牙合覆盖正常,要求关闭间隙。根据临床检查,制定了两套治疗计划:采用矫正或修复治疗。经过沟通,患者要求贴面修复。上颌四颗牙贴面修复完成后,使牙齿恢...
拯救中度四环素牙 全瓷冠修复一例
——病例—— 姓名:王女士 年纪:30岁 牙齿问题: 前牙缝隙 治疗方案: 全瓷冠修复 【病例详细情况】 患者王女士,30岁,公司白领。因为注意到前牙缝隙过大,影响美观,王女士的工作又是和很多人交流、开会等,所以必须注意自己的形象,有亲和力的笑容对于王小姐来说非常重要,因此来到口腔进行修...
中度龋齿树脂修复一例
——病例—— 姓名:刘先生 年纪:25岁 牙齿问题:牙齿龋坏 治疗方案:树脂填充 【病例详细情况】 患者刘先生,25岁。因为平时不注意饮食和口腔健康,牙齿严重龋坏,影响美观和日常饮食,故前来口腔,希望能够得到治疗的同时也恢复牙齿的美观度。 【商议治疗方案】 经过一番检查后发现检查发现...
关闭前牙缝隙做回自信白领 前牙修复一例
【病例详细情况】 吴女士,女,30岁。患者自觉上前牙排列不齐20余年,近两年发现上前牙局部龋损,反复冷热敏感,不仅影响了饮食,同时还影响了日常生活,故前来口腔就诊,希望能够改善前牙排列状况,恢复面部美观。 【商议治疗方案】 尔口腔邢医生为其治疗,经检查,全口卫生状况一般,牙龈未见明显红肿溢脓。全口正常合关系,组牙保护合。上下牙列中线不齐,上颌右侧偏斜近1mm。因患者要...
52岁阿姨通过种植牙重拾职业梦想
——病例—— 姓名:蒋阿姨 年纪:52岁 牙齿问题:上前门牙缺失 治疗方案: 瑞士ITI种植 【病例详细情况】 蒋阿姨从小的梦想就是当一名人民教师,然而今年52岁的蒋阿姨无意之间门牙就脱落了一颗,真是岁月不饶人啊!伴随着一声声叹息也示意出无奈之感。门牙脱落后的蒋阿姨遇到了种种困难,教课就是要用语言传递自己的知识,难而因...
半小时好牙如新生 惊呆张大伯!
姓名:张伯伯 年纪:61岁 牙齿问题:缺失牙齿多颗、牙齿松动 治疗方案: 即拔即种、微创种植 主治医生:徐医生 【病例详细情况】 患者张伯伯,缺失牙齿多颗、轻度牙周炎、有牙齿松动症状。 【商议治疗方案】 口腔徐医生种植专家为其进行治疗,检查发现牙齿缺失多颗、吸烟...
全瓷冠修复上前牙不良修复体一例
——病例—— 姓名:郑女士 年纪:34岁 牙齿问题:以往全瓷冠修复不良 治疗方案:E-MAX全瓷冠修复 【病例详细情况】 患者,郑女士,三年前因为前牙不美观曾在外院进行烤瓷牙修复。如今牙龈变黑,有一次影响了牙齿美观,郑女士希望再次修复。 【商议治疗方案】 经检查发现前牙不良修复体,进行根冠治疗,并用水激...
前牙树脂美学修复
——病例—— 姓名:肖小姐 年纪:33岁 牙齿问题: 前牙旧充填材料崩裂 治疗方案: 树脂美学修复 【病例详细情况】 肖小姐,33岁,女性。肖小姐前牙一直有缺损,曾多次进行树脂充填,病史十年,一周前在咬硬物时部分树脂材料崩裂脱落,影响美观。肖小姐决定再次进行修复,此次听人介绍口腔服务不错,医生专业,...
乳牙反颌的矫正一列
——病例—— 姓名:小朋友 年纪:3岁 牙齿问题:乳牙反颌 治疗方案:早期干预矫正 【病例详细情况】 2014年三岁小女孩在家长的陪同下来到口腔,因为乳牙反颌,父母非常担心。来到口腔,表示其实乳牙反颌是应该矫正的,乳牙反颌是矫正中的急诊.矫正的最佳年龄是3--5岁,不要等到牙全部换完了才治疗那样就会...
湖南贝壳口腔医院
微信号 : tybkkq
免费咖啡
免费停车
免费书吧
免费WIFI